Как быстро убрать мешки под глазами: рецепты лучших домашних компрессов

Возвращаем себе свежий и бодрый вид без трат на косметолога! Яна Марковская Бьюти-редактор Обсудить тему Теги: уход за лицом домашние рецепты Домашний уход Домашние процедуры Уход за кожей вокруг глаз Photo by Apostolos Vamvouras on Unsplash Мешки и темные круги под глазами кричат окружающим о твоем хроническом недосыпе и постоянных стрессах? Исправляем ситуацию прямо в …

Скандально известному директору НИИ экспериментальной медицины нашли замену

Бывший вице-губернатор Санкт-Петербурга Олег Эргашев назначен директором НИИ экспериментальной медицины. Он заменит Сергея Шевченко, с жалобами на которого сотрудники НИИ обращались к премьер-министру Михаилу Мишустину. Олег Эргашев | Фото: vk.com/oleg_ergashev Новым директором НИИ экспериментальной медицины (Санкт-Петербург) с 3 апреля 2025 года станет доктор медицинских наук, хирург, онколог, колопроктолог высшей категории Олег Эргашев. Он заменит скандально известного Сергея …

Видеоигры помогут обнаружить болезнь Альцгеймера на ранних стадиях

Исследование показывает эффективность новых методов диагностики Ученые из США разработали тесты на раннее выявление болезни Альцгеймера с помощью видеоигр. Они могут помочь обнаружить заболевание на несколько лет раньше, чем появляются первые симптомы, а также предложить безболезненный способ диагностики деменции. © Ferra.ru Ранее проведенные исследования показали, что тесты, основанные на играх, дают такие же результаты, как и современные анализы крови, выявляющие биомаркеры болезни Альцгеймера. …

Топ-10 стильных мужских образов с показов Московской недели моды

О, это отдельная тема для обсуждения! Редакция сайта Обсудить тему Теги: Дизайнер Российские бренды одежды модные российские бренды Московская Неделя моды Дизайнерская одежда Архивы пресс-службы В столице с успехом прошла Московская неделя моды — уникальная креативная и профессиональная экосистема, где формируется новое фэшн-комьюнити и открываются талантливые имена. Москва не просто следует мировым трендам — она …

Липома на голове

У любого человека, независимо от возраста и пола может появиться жировик на голове, особенно если имеются определенные проблемы со здоровьем. Считается, что жировик не опасен, если не нарушать его целостность, но жировики, расположенные на голове легко травмировать при расчесывании. При возникновении липомы не стоит паниковать, но если она мешает или болит нужно обратиться к врачу. …

Липома на внутренних органах

Нарушение подкожного жирового обмена приводят к тому, что развиваются липомы, в том числе на внутренних органах. Может быть выявлена липома сердца, мозга, желудка, легких. Что делать, когда на внутренних органах образовалась липома, какие симптомы могут беспокоить человека, и что за лечение показано в случае, когда образование мешает внутренним органам нормально функционировать? Жировые нераковые образования могут …

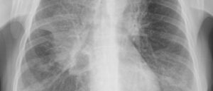
Липома легких

При появлении доброкачественной опухоли в легких, которая сопровождается быстрым ростом жировых тканей, диагностируется липома легкого. Это редкое заболевание, проявляющееся одинаково часто как у мужчин, так и у женщин. Больше всего недуг проявляется у молодых людей примерно в 30 лет. При этом новообразования медленно растут, и выявить их можно при проведении рентгенографии. Из-за чего развивается недуг, …

Липома в почке

Последнее время многих интересуют вопросы: что такое липома почки, при каких обстоятельствах она проявляется? Липома или, попросту, жировик почки представляет собой новообразование доброкачественного характера, которое состоит из жировых тканей. Несмотря на доброкачественный тип образования, сохраняется угроза серьезных осложнений и летального исходам, при несвоевременном лечении. Липома почки – жировое новообразование незлокачественной природы, которое, всё же, несёт …

Липома в головном мозге

К редким заболеваниям человеческого организма относится липома головного мозга. Такое новообразование может развиваться из жировых клеток, располагается в мозолистом теле головного мозга или в межполушарной щели. Развитие опухоли в первичной стадии не проявляет конкретных симптомов, не вызывает дискомфорт у человека и протекает без сильных болевых ощущений. Причины развития этого доброкачественного образования точно не установлены. Из-за …

Жировики на руках

Независимо от размера, жировик на руке не представляет никакой опасности, если не допустить его воспаления. Появление липомы сопровождается эстетическим дискомфортом и может мешать в повседневной жизни, если на шишку оказывается давление. Существует несколько безопасных методов устранения такого образования, но попытки самостоятельного удаления липомы приводят к серьезным осложнениям. Жировики на руках не несут большой опасности здоровью …