Каждый нарост на десне обязан послужить поводом немедленно обратится за помощью к профессионалу. Подобный патологический процесс может указывать на серьезную аномалию, и привести к необратимым последствиям не только во рту, но и во всем организме. Образование говорит о длительном воспалительном или инфекционном процессе в организме. Вырост на деснах у женщин образовывается в 3 раза чаще, чем у мужчин.

Нарост на десне при разрастании доставляет немало проблем человеку.
Что это такое?
Нарост на десне — это скопление патологических микроорганизмов в одном месте. Их скопление зависит от одновременной совокупности нескольких факторов:
- наличие бактерий в ротовой полости;
- механическое повреждение;
- снижение иммунитета.
Эта проблема может коснуться любого человека, независимо от пола и возраста. Нарост во рту может иметь разную форму, цвет, структуру, консистенцию, локализоваться на верхней или нижней десне, далеко от зуба или даже нависать на него. А также данная патология иногда сопровождается болевыми ощущениями, дискомфортом. Иногда наросты на челюсти абсолютно бессимптомны.
Виды наростов и их внешний вид
Новообразования на слизистой оболочке десны отличаются:
- размером;
- консистенцией;
- цветом;
- структурой;
- болевыми ощущениями (не всегда);
- кровоточивостью (иногда).

Наросты на десне различаются по структуре и степени опасности для здоровья.
Виды наростов:
- эпулис (фиброзный, гигантоклеточный, ангиоматозный) — доброкачественная или злокачественная (редко) опухоль;
- киста — новообразование в эпителии, внутри которого находиться гной, омертвевшие и ороговевшие клетки;
- экзостоз — безболезненный, плотный, костяной нарост;
- фибропапиллома — доброкачественное образование на десне;
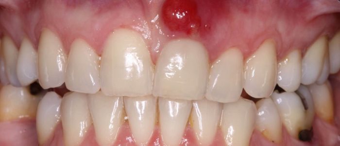
- гнойный абсцесс — красный нарост со свищем, из которого выделяется гной.
Эпулис ангиоматозной формы встречается чаще у 5−10-ти летних детей, иногда у подростков, а гигантоклеточный — у людей 40−60-ти лет, чаще женщин. Эпулис характеризуется:
- отсутствием боли;
- неэстетичным видом;
- разными размерами (от 2 мм до 3-х и более см);
- розовым, красным, бордовым цветом, коричневатым или синеватым оттенками;
- различной структурой (твердый, мягкий);
- язвой на поверхности (после повреждения);
- разреженной костью (не всегда);
- локализацией на челюстной кости (альвеолярный отросток) в области небольших коренных зубов или на нижней челюсти (редко).

Наросты на десне могут приносить физическую боль или не подавать неприятных симптомов.
Киста характеризуется:
- болезненностью при надавливании;
- белым или светло-серым цветом;
- рыхлостью;
- локализуется на месте воспаления;
- свищевым входом (ранкой);
- повышенной температурой тела (в запущенной стадии).
Этиология проблемы
Общей причиной образования кисты на слизистой десен считается размножение вредных бактерий, и скопление их в определенном месте.
Причины появления новообразований в ротовой полости:

Особенности анатомии, травмы, инфекции, недостаток гигиены становятся причиной роста наростов на десне.
- травмы и царапины десен (механические, химические);
- удаление зуба;
- периодонтит;
- послеоперационные инфекции;
- ошибки стоматолога;
- аномалии челюстных костей;
- патологичный прикус;
- деформация зубов;
- недостаточная гигиена ротовой полости;
- злоупотребление никотином и алкоголем;
- заболевания различных органов и систем в организме.
Если на десне появился нарост белого цвета, скорее всего, это киста. Причины ее возникновения:
- недостаточная гигиена ротовой полости;
- инфицирование десны во время терапии зуба;
- давний кариес;
- парадонтит;
- пульпит;
- травмы (от мелких механических до аномалий костей челюсти) в совокупности с инфекцией;
- аномальное развитие кости челюсти;
- патологии зубного ряда;
- вредные привычки;
- патология функционирования внутренних органов;
- наследственность.

Эпулис возникает из-за стоматологических проблем, приёма гормональных препаратов или гормонального сбоя.
Причины появления эпулиса:
- повреждение десны;
- камни на зубах;
- нарушение прикуса;
- сбои в гормональной системе;
- прием гормональных препаратов;
- перманентное воспаление и воспаление слизистой (ангиоматозный, фиброзный);
- альвеолярный костный отросток.
Симптоматика наростов на десне
Часто в начале заболевания люди не жалуются на болезненные ощущения, не испытывают дискомфорта, и порой даже не замечают проблемы. Четкая симптоматика появляется со временем и зависит от вида заболевания, его запущенности, и остроты воспалительного процесса. Для кисты характерны:
- отечность вокруг нароста;
- покраснение слизистой;
- региональный лимфаденит (подчелюстной, ушной, шейный);
- общая интоксикация;
- боль (усиливается ночью).

Рост новообразований на десне может сопровождаться отёчностью, болями, повышением температуры тела.
Симптомы эпулиса доброкачественной этиологии:
- медленно и не сильно растет (до 2 см);
- не болит;
- эстетический дискомфорт.
Для злокачественного эпулиса характерно:
- быстрый рост;
- резкое увеличение размера;
- отечность десны в месте локализации;
- разрушение в близлежащих зубах корневых каналов;
- расшатывание и смещение ближайших зубов;
- кровоточивость десен.
Беременные женщины находятся в зоне риска образования наростов, у них эти процессы проходят интенсивней, развиваются быстрее, характеризуются ярко выраженной симптоматикой и частыми рецидивами.
Симптомы экзостоза:
- безболезненность;
- отсутствие отечности;
- травмы мягких тканей (со временем).
Появление у детей

Смена молочных зубов у детей может сопровождаться патологическим ростом новообразований на дёснах.
У грудничка (в первый год жизни) наросты иногда появляются при прорезывании зубов, травмируя слизистую и десна. У подростков новообразования связаны как с травмами, так и с гормональной перестройкой. Нарост на десне у ребенка, имеет такие же причины, как и у взрослого:
- травма;
- воспаление;
- инфекция;
- несоблюдение гигиены;
- прорезывание зубов;
- периодонтит;
- гнойный абсцесс.
Новообразование, возникшее у ребенка, свидетельствует:
- о инфекции;
- об авитаминозе;
- ослабленном иммунитете;
- об отравлении;
- сбоях в организме разной этиологии.
Киста у детей характеризуется:
- небольшим размером (до 1 см);
- плотностью;
- неприятным запахом изо рта.

Стоматолог может дать рекомендации к возможным методам устранения нароста на десне.
Как лечить?
У специалиста
После обнаружения нароста необходимо срочно обратиться к стоматологу. Для постановления точного диагноза врач использует:
- сбор анамнеза;
- визуальный осмотр;
- рентгенографию;
- гистологию (при необходимости).
После постановления диагноза доктор лечит новообразования различными методами:
- элементами народной медицины;
- медикаментозной терапией;
- удалением (в редких случаях).

Ополаскиватели, специальные зубные пасты помогают в выздоровлении при наросте на десне.
Лекарства для терапии
Курс лечения, как правило, длится долго. Включает применение таких лекарственных средств:
- промывание антисептиками;
- антибиотики;
- противовоспалительные средства;
- паста для восстановления костной ткани.
Удаление наростов
Для устранения нароста на десне используют несколько способов:
- иссечение (длится 2−3 часа);
- выжигание лазером (45 минут).
Реабилитационные процедуры после процедуры длятся 2−4 недели. Послеоперационная терапия включает:
- ликвидацию гнойно-воспалительного процесса;
- прием антибактериальных медикаментозных средств;
- народные методы;
- определенное питание (нежная по консистенции пища, температурой до 40ºС);
- отказ от сигарет и алкоголя;
- ограниченную физическую активность;
- санирование зубов.
Для лечения кисты стараются применять традиционные терапевтические методы, но от эпулиса, экзостоза и фибропапилломы можно избавиться только радикальными способами.
В домашних условиях
Самолечением заниматься не стоит, но народные средства могут помочь быстрее справиться с недугом, снять воспаление и облегчить болезненные ощущения, если их использовать в виде вспомогательных методов. Для этого нужно делать:

Нарост на десне можно вылечить самостоятельно дома, прополаскивая ротовую полость специальными растворами или отварами.
- Настойки или отвары из трав. Используется зверобой, дубовая кора, фиалка трехцветная, шалфей, календула, ромашка.
- Концентрированные растворы соды и соли.
- Травяные мази на основе корня одуванчика, донника, календулы, тысячелистника, щавеля.
Возможные осложнения и профилактические меры
Несвоевременная, самостоятельная или неправильная терапия может стать причиной многих серьезных осложнений:
- лимфаденит (чреват астмой, аллергией, простудными заболеваниями);
- инфекционное поражение более глубоких тканей (в т. ч. костного происхождения);
- возникновение тяжелых сопутствующих заболеваний (остеомиелит, сепсис);
- инфицирование головного мозга, разных систем и органов;
- злокачественное перерождение (редко).
Чтобы предотвратить появление наростов различной этиологии необходимо придерживаться гигиенических норм (чистить зубы дважды в день и полоскать их после еды), своевременно лечить разные патологии зубов (даже безболезненные), санировать ротовую полость, наблюдать за гормональным фоном организма, посещать стоматолога для профосмотра раз в полгода.
Источник: http://stoprodinkam.ru/obrazovaniya/dopolnitelno/narost-na-desne.html