Существуют различные виды опухолей, которые развиваются в лицевой области. Одной из таких считается фиброма челюсти. Заболевание приносит своему обладателю эстетический и физический дискомфорт. Хоть причины появления образований в челюсти неясны, врачи успешно проводят их лечение. Недуг не несет угрозу для жизни, так как состоит из доброкачественных клеток, но важно знать об этой проблеме и вовремя обращаться за медицинской помощью.

Фиброма челюсти – доброкачественная опухоль, которая требует профессионального лечения.
Что это такое?
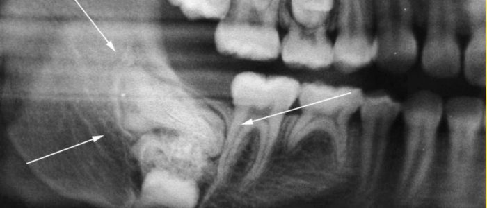
Фиброма представляет собой опухоль, которая состоит из соединительной ткани с небольшим количеством сосудов и развивается в полости рта. Часто фиброма встречается на верхней челюсти. Заболевание вначале не вызывает болезненных ощущений и развивается в течение длительного периода. Боль возникает позже, из-за сдавливания нервов. Фиброму челюсти иногда путают с другими образованиями, в частности, со злокачественными. Определить ее можно благодаря внешним проявлениям, так как поражается челюстно-лицевая кость. Но только биопсия способна показать из чего состоит опухоль. Для эффективного лечения и избавления от сопутствующих осложнений следует вовремя обращаться за консультацией к врачу.
Структура образования
Первым делом врач обязан провести диагностику образования. Во время проведения диагностического исследования врач определяет тип новообразования. Фиброму челюсти делят на два вида. Каждый из них отличается своей структурой, цветом, размером и другими признаками. Важно различать образования, чтобы правильно назначать лечение.
| Типы фибром челюстей | |
| Одонтогенная | Одонтогенная опухоль — редкое образование. Судя по гистологическим исследованиям, она состоит из бедной на клетки фиброзной ткани, среди которой наблюдаются кусочки эпителия, что являются основной для образования зубов. Иногда под микроскопом можно увидеть слизистое перерождение частей образования. В разрезе фиброма имеет серовато-белый цвет. А при пальпации способна легко отделяться от окружающих тканей. |
| Амелобластическая | Амелобластическая фиброма характеризуется эпителиальными разрастаниями, между которыми находятся элементы соединительной ткани зубных зачатков. Этот тип опухоли имеет плотную и эластичную структуру. На срезе представляет собой светло-серое образование с частично высветленными участками. |

Основные причины фибромы челюсти – механическое воздействие или рост зубов.
Причины и симптомы фибромы челюсти
Одонтогенная опухоль имеет длительный период развития, не вызывает болезненных ощущений, при пальпации похожа на плотное и эластичное образование в виде шарика. Визуально наблюдается утолщение верхней или нижней челюсти, в зависимости от локализации опухоли. Также замечается смещение зубов из-за рассасывания их корней. При амелобластической форме наблюдается вздутие челюстной кости. Чаще всего появляется у детей, в тот период, когда формируются коренные зубы. Такое образование опасно рецидивами и даже перерождением в саркому.
Фиброма челюсти считается крайне очень редким заболеванием, поэтому точные причины возникновения не известны.
Возможное лечение
Как показывает практика, лучевая терапия остается бессильна в борьбе с фибромой челюсти. Поэтому из возможных вариантов лечения эффективен только один — хирургическое удаление. Прежде чем начинать лечение данного заболевания необходимо точно поставить диагноз. С целью диагностики фибромы челюсти врач отправит пройти рентгенологическое и микроскопическое исследование. Но убедиться в правильной дифференциации заболевания поможет только анализ на гистологию. Если подтверждается, что фиброма доброкачественная, проводится вылущивание опухоли вместе с капсулой. В случае со злокачественным образованием — иссечения значительного участка челюсти не избежать.
Источник: http://stoprodinkam.ru/obrazovaniya/fibromy/fibroma-chelyusti.html