Гемангиома печени опасна или нет?

Если во время исследования была обнаружена гипоэхогенная гемангиома печени, не стоит сразу пугаться, так как чаще всего такое образование не злокачественное, и не опасно для жизни. Но если образование в печени у взрослых стремительно увеличивается в размерах, приносит ощутимый дискомфорт и нарушает нормальное функционирование органа, стоит обратиться к врачу за консультацией и приступить к лечению …

Гемангиома на грудине

Гемангиома относится к распространенным заболеваниям, особенно у детей. Поэтому родителей все больше интересуют причины возникновения опухоли в груди, симптомы, методы лечения и профилактики, а также возможные последствия этой болезни. Гемангиома представляет собой доброкачественное образование, которое состоит из мелких или крупных сосудов, переплетающихся в виде клубочка. В большинстве случаев располагается на коже, в груди, реже во …

Гемангиома лица

У некоторых людей появляется гемангиома лица. Она может быть как врожденной, так и возникшей с возрастом. Представляет собой доброкачественное образование, поэтому в большинстве случаев не несет угрозы для здоровья человека. Однако, иногда причиняет своему обладателю эстетический дискомфорт, почему он хочет от нее избавиться. Сделать это можно после посещения доктора, который проведет требуемую диагностику и назначит …

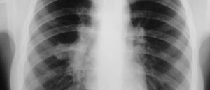
Гемангиома легкого

Гемангиома — часто встречаемое сосудистое образование в главном органе дыхания. Гемангиома легких — редкое образование в виде опухоли, которое в 99% случаев доброкачественное и чаще, поражающее нижние отделы органа. Патология в легком представляет собой скопление анастомозирующих сосудов крови, размером 0,4—8,5 см в диаметре (средний показатель — 2,8 см). Чаще формируется у детей после 6—7-ми лет …

Гемангиома кровоточит

Гемангиома — вид доброкачественной опухоли, который не несет угрозы здоровью и не мутирует в злокачественную. Но если гемангиома кровит, даже при незначительных травмах, то такой вид новообразования требует индивидуального подхода в лечении. Уплотнение имеет вид красного или темно-фиолетового пятна. Возникает в том случае, если кровеносная система ребенка в период внутриутробного развития давала сбои. Гемангиома не …

Гемангиома кожи

Многим интересно, что такое гемангиома. Это сосудистая опухоль, возникшая из-за аномального развития кровеносных сосудов у эмбриона. Поэтому чаще всего она врожденная, появляется у новорожденных или в первые несколько лет жизни ребенка. Степень опасности образования зависит от его локализации. 1—3 из 100 новорожденных появляются на свет с этой опухолью, а на 1 заболевшего мальчика приходится 4 …

Гемангиома и солнце

Гемангиома является доброкачественной неоплазмой. Загар, а точнее, ультрафиолет солнечных лучей, является одним из самых влиятельных факторов. Поэтому не стоит забывать, что любая опухоль имеет свой процент вероятности перехода в злокачественную стадию. Потому загар, равно как и другие способствующие перерождению обстоятельства нужно избегать. Солнечные ванны при гемангиоме могут усугубить проблему или спровоцировать рост новообразования, если его …

Запасные части для спецтехники: как обеспечить бесперебойную работу оборудования

Спецтехника — основа многих отраслей: строительства, сельского хозяйства, логистики. Ее эксплуатация связана с высокими нагрузками, что неизбежно приводит к износу деталей. Отсутствие качественных запасных компонентов может стать причиной длительных простоев и финансовых потерь. Критерии выбора надежного поставщика При поиске компании по продаже запчастей для спецтехники важно учитывать несколько факторов: Ассортимент. Чем шире номенклатура, тем выше шанс …

Колечко на палец, колечко: 7 главных трендов маникюра невесты в 2025 году

Уже совсем скоро стартует долгожданный сезон свадеб! Если в этом году тебе постастливилось стать невестой, то сейчас самое время продумать свой праздничный образ до кончиков пальцев. VOICE узнал у эксперта, с какими нейл-дизайнами лучше идти к алтарю, чтобы прослыть главной модницей торжества. Яна Марковская Бьюти-редактор Обсудить тему Теги: Идеи маникюра Маникюр для длинных ногтей Тренды …

Что такое паническая атака

Паническая атака возникает беспочвенно, когда реальной угрозы для человека нет. Она может застать врасплох в любое время и любом месте: дома, в транспорте, на работе и даже в постели посреди ночи. Не всегда ее носитель способен справиться с ситуацией самостоятельно. Поэтому не стесняйтесь прийти на помощь, если оказались поблизости. Расскажем, как это сделать правильно. Что …