Нарост на кости

Такой неприятный дефект, как костный нарост, может появляться на любой части тела человека. Его развитие чаще всего наблюдается у детей и подростков, когда их костная ткань и суставы развиваются с особой интенсивностью. Доброкачественные костные наросты могут образовываться на любом участке кости, даже не проявляя никаких симптомов. Однако, когда они находятся близко от нерва и пережимают …

Нарост в области шеи

Появившийся нарост на шее может вызывать много страхов и неуверенность в себе. Эта проблема приносит много дискомфорта в повседневной жизни, независимо от вида и причин ее возникновения. Как правило, такое новообразование в шейном отделе неопасно, но если долго игнорировать некоторые симптомы, то вполне вероятно, что можно пропустить начало процесса перерождения опухоли в злокачественную. Нарост в …

Методы удаления новообразований

Наличие на коже наростов и образований приносит их обладателям дискомфорт. Поэтому рекомендуется удаление новообразований с косметической целью и для сохранения здоровья и жизни человеку. Доброкачественные образования не несут вреда, кроме как портят эстетический вид или, если в дальнейшем есть вероятность перерождения в злокачественное. Злокачественные — вредят здоровью и могут стоить жизни человеку, если вовремя не …

Злокачественные новообразования глаза

Ухудшения зрения провоцируют злокачественные новообразования глаз. Проявляются в виде узелковых уплотнений в любом месте органа зрения или близлежащих зонах. Нераспространенное заболевание, но количество пораженных им людей увеличивается. Четкой причины появления медициной не установлено. В зоне риска люди с наследственной предрасположенностью. Игнорирование недуга в зоне хориоидеи (сосудистой оболочки глаза) может повлечь потерю зрения. Диагностируется с применением …

Болезненный нарост на ноге

Такая неприятность, как наросты на ногах, может приносить сильный дискомфорт и боль. Кожные наросты имеют различную природу происхождения и, как правило, избавиться от них можно различными методами, как медикаментозными, так и народными. Чаще всего причиной является неправильно подобранная обувь или патологические процессы в организме. Наросты на ногах могут быть результатом неудобной обуви или чрезмерных нагрузок, …

Хирургическое лечение гигромы

Гигрома — доброкачественное новообразование, которое на начальных стадиях не мешает, не болит, не вызывает осложнений. Удаление гигромы становится необходимым, когда она начинает интенсивно расти, причиняя не только эстетический дискомфорт, но и физический. Этот вид опухоли не перерождается в злокачественную форму. Для гигромы характерно как молниеносное увеличение в диаметре (несколько дней), так и довольно длительное (несколько …

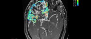
Субдуральная гигрома

Травмы головы, даже средние по тяжести, могут провоцировать образование, называющееся гигрома головного мозга. Это доброкачественная опухоль, состоящая из серозной жидкости, слизи и белка. И если гигрома на ноге или руке не несет в себе опасности для жизни, то новообразования в головном мозге чреваты серьезными осложнениями. Поэтому при ухудшении самочувствия следует немедленно обращаться за медицинской помощью …

Может ли гигрома пройти сама?

Так как гигрома зачастую бессимптомное заболевание, у пациентов возникает вопрос о том, может ли гигрома пройти сама? Вначале болезнь воспринимается как косметический дефект, но со временем вызывает физический дискомфорт. Иногда опухолевидное образование оказывает влияние на качество жизни, заставляя изменить привычную работу или пересмотреть пристрастия в спорте. Гигрома в некоторых случая может рассосаться без целенаправленных терапевтических …

Может ли гигрома лопнуть?

Если лопнула гигрома, а ее содержимое вытекло в суставы или наружу — необходимо продезинфицировать место раны и сразу обратиться к врачу за медицинской консультацией. Прорвавшись, опухоль уменьшается, но со временем может появиться вновь. Удалить ее можно только хирургическим методом. Лопнуть гигрома, может, при травматизации образования или от переизбытка в нем жидкости. Прорыв гигромы не стоит …

Курс Word и Excel: ключ к вашей продуктивности

Владение программами Word и Excel является необходимым навыком для работы в современном офисе. Эти инструменты позволяют создавать документы, анализировать данные и эффективно управлять информацией. Больше информации можно узнать на сайте https://ukcfoliant.ru/wordexcel. Курс Word и Excel поможет вам не только освоить основы, но и узнать продвинутые техники, которые значительно повысят вашу продуктивность. Почему Word и Excel …